Notice
Recent Posts
Recent Comments
redGen's story
[초음파] 갑상선 초음파 본문
갑상선 정상 크기 :
갑상선엽의 전후 직경이 20mm 이상이면 커졌다고 의심, 10mm 이하면 atrophic thyroiditis 의심.
Isthmus : 4~6mm
(직경은 isthmus로 넘어가는 꺾이는 부위에서 측정한다.)

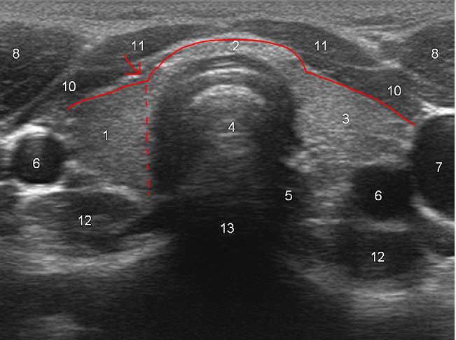
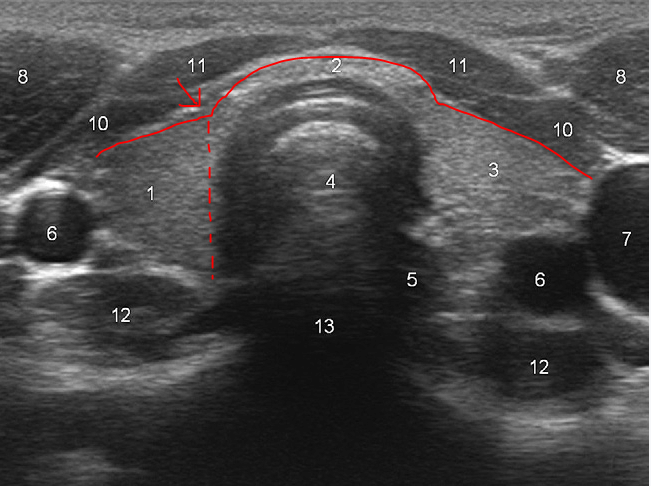
[ 표준영상 ]
1. Isthmus를 가운데 포함한 전체 갑상선 axial view
2. 우엽 상부 axial view
3. 우엽 중부 axial view
4. 우엽 하부 axial view
5. 우엽 longitudinal view
6. 좌엽 상부 axial view
7. 좌엽 중부 axial view
8. 좌엽 하부 axial view
9. 좌엽 longitudinal view
※ Malignancy를 의심할만한 소견
1. Composition : Solid
2. Echogenecity : hypoechoic
3. Shape : Taller-than-wide
4. Echogenic foci : calcification

'Medical archive' 카테고리의 다른 글
| 2025 부울경 비만학회 하계연수강좌 (4) | 2025.07.05 |
|---|---|
| [초음파] 경동맥 초음파 (0) | 2025.04.18 |
| 편두통 (0) | 2025.03.14 |
| MMSE (0) | 2025.03.14 |
| 제균치료의 최신 지견 (0) | 2025.02.26 |