redGen's story
초음파 강의 본문
초음파의 장점 : Real-time imaging, No radation, High contrast between difference tissues, Cheap
금식(4시간 이상)해야 하는 이유 :
1. 위에 공기가 차 있으면 공기 뒤쪽의 장기를 관찰할 수 없기 때문에, 공기 섭취를 줄이기 위해
(물 마시거나 껌을 씹는 행위도 공기를 많이 삼키기 때문에 금지!)
2. 지방을 섭취하면 담낭이 쪼그라들어서 담낭의 관찰이 어려움
* 췌장이 공기로 인해 잘 안보이는 경우 - 물을 1L 이상 마시고 검사를 하면 위에 물이 차서 췌장을 잘 볼 수 있음.
환자와의 협응
- 숨을 들이쉬면서 배를 불룩하게 내밀면 간이 아래쪽으로 내려오면서 sonic window가 개선됨
→ "숨 들이쉬면서 배를 불룩하게 내밀어보세요."
- 좌측와위는 간이 아래로 내려오면서 subcostal sonic view가 좋아짐 (반면, intercostal view는 안좋아짐→supine position)
Probe
- Convex transducer : Low frequency (1~6MHz) : Good penetration / Poor axial resolution : 복부, 부인과
- Linear transducer : High frequency : Poor Penetration / Good axial resolution : 갑상선, 유방, 근골격계
Transducer Movement
- A = Alignment : sliding longitudinally
- R = Rotation : rotating (clockwise/counter clockwise)
- T = Tilting : tilting or angling
요령 :
- 젤을 충분히 많이 써라.
- 적절한 움직임(ART)를 사용해라.
- 병변을 발견하면 최소 두 가지 이상의 면을 관찰해라.
초음파 장비의 버튼들
1. Focus (초점을 잡을 탐촉자로부터의 거리(깊이))
2. Depth (전체 화면의 깊이 - diaphragm이 화면의 끝에 오도록 크기를 조절)
3. Gain (전체 화면의 밝기 - 너무 밝지도 어둡지도 않게)
4. Time-Gain Compensation (깊이에 따른 밝기 조절 - 깊은 부분은 투과 길이(시간)이 길고 얕은 부분은 반대) [좌상-우하]
상복부초음파의 표준영상
Lt. subcostal - ① 간좌엽의 종스캔 ② 간좌엽의 횡스캔
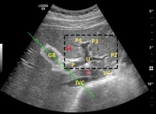
Rt. subcostal - ③ 간정맥의 늑간하스캔 (hepatic v.이 IVC로 모이는 삼지창 모양) ④ 좌우간문맥 분지의 횡스캔 (정밀)
⑤ 간우엽의 상부 (hepatic dome) ⑥ 간우엽의 횡스캔
Rt. intercostal - ⑦ 우간문맥을 포함한 간우엽의 늑간스캔 (정밀) (portal vein(wall echo 하얗게) 잘 보이게)
⑧ 우간정맥을 포함한 간우엽의 늑간스캔 (정밀) (hepatic vein(wall echo 없음) 잘 보이게)
Hepatorenal - ⑨ 우간하부와 우측 신장피질 관상면 스캔
GB - 담낭의 장축
CBD - 간외담관(common hepatic duct + common bile duct)의 종스캔
Pancreas - 췌장 두부 횡스캔, 췌장 체부/미부 횡스캔
Spleen - 비장 장축 스캔

Left Liver (transverse)
portal vein branch가 H 모양으로 보이도록. "Recumbent H"



상복부 표준판독소견서
‣ 등록번호, 성명, 생년월일/나이, 성별, 검사명, 검사일시, 검사와 판독한 의사(면허번호), 검사소견, 결론, 판독일시, 의료기관명칭
‣ 검사소견 : 간실질 에코, 간종괴 유무, 담낭이상 유무, 담관확장 유무, 비장종대 여부, 췌장이상 여부 포함해야 함. 이상이 있는 경우 세부내용 상세 기술해야 함.
Abdomen Standard Scan Protocol
1. Lt.lobe longitudinal view (aorta) - Lt.lobe의 edge가 잘 나오도록
- edge가 다 안나오는 경우는 probe를 좀 더 아래쪽으로 내려서
2. Lt.lobe longitudinal view (caudate) - IVC위로 ligamentum venosum 아래 S1
3. Lt.lobe transverse view
'Medical archive' 카테고리의 다른 글
| 2023 CMC 내분비 연수강좌 - 당뇨 (0) | 2023.08.07 |
|---|---|
| 복부 초음파 판독 (0) | 2023.08.02 |
| 갑상선 기능저하 (0) | 2023.07.16 |
| 갑상선 기능항진 (0) | 2023.07.15 |
| 임신시 갑상선 질환 (0) | 2023.07.14 |